Do I Need a Duplex Ultrasound for Varicose Veins?
Yes. If you are considering treatment for varicose veins, the most important decisions are made before any procedure takes place. Duplex ultrasound is the investigation that allows those decisions to be made accurately, safely, and in your long‑term interests. It is not an optional extra or a formality. It is the diagnostic test that determines whether treatment is needed at all, and if so, which treatment is appropriate.
Varicose veins are caused by failure of the valves within the venous system. This failure cannot be reliably assessed by visual inspection alone. Duplex ultrasound allows us to see how blood flows within the veins, identify where reflux is occurring, and understand how that reflux relates to symptoms. Without this information, treatment planning becomes guesswork.
Why can’t a doctor just look at my veins?
The appearance of veins on the surface does not reliably reflect what is happening within the venous system. This is true for both varicose veins and thread veins.Visual inspection alone cannot determine how blood is flowing, which veins are responsible for symptoms, or whether treatment will be beneficial.
Duplex ultrasound allows assessment of vein function rather than appearance. It shows whether reflux is present, which veins are involved, and how this relates to symptoms. This is particularly important because thread veins may sometimes be associated with underlying venous reflux, and treating surface veins without understanding deeper flow can lead to poor or short‑lived results.
By combining clinical assessment with duplex imaging, treatment decisions are based on evidence rather than assumptions drawn from what can be seen. This protects patients from unnecessary procedures and ensures that both thread vein treatment and varicose veins treatment have the best outcomes.
Why Duplex Is Different From Basic Vein Checks
Some clinics rely on limited assessments using handheld sound probes that only detect the presence of blood flow. These methods cannot map reflux, identify abnormal vein pathways, or assess deeper veins. Duplex ultrasound provides a complete picture, allowing treatment decisions to be based on objective clinical evidence rather than assumption.
Who should perform the duplex ultrasound?
Duplex ultrasound is highly operator‑dependent. While image acquisition is important, interpretation and clinical judgement are equally critical. When duplex ultrasound is performed and interpreted by a consultant vascular specialist at the same apppointment, this avoids the problems that can occur when scans are performed separately from clinical decision‑making.
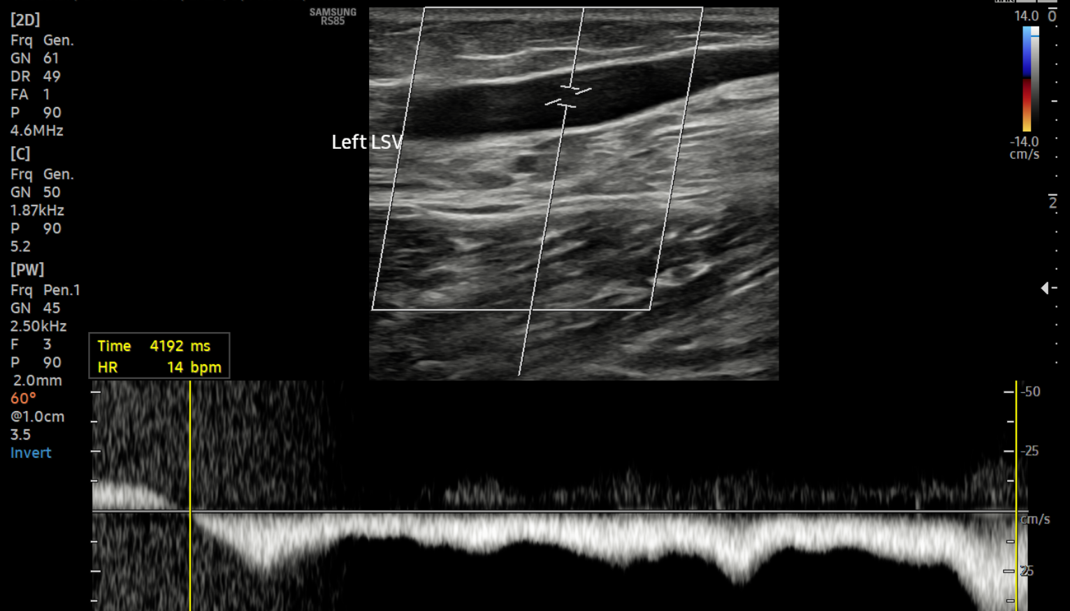
What happens during a duplex ultrasound assessment?
A venous duplex ultrasound is a non‑invasive and painless examination. Depending on the veins being assessed, you may be examined standing or lying down. A handheld ultrasound probe is used with gel to visualise blood flow within the veins, and gentle pressure or movement may be used to assess valve function.
The scan typically takes around twenty to thirty minutes. Findings are explained during the assessment, allowing time for discussion and questions. This ensures that any recommendations are clearly understood and based on shared decision‑making.
What does a duplex ultrasound actually show
A duplex ultrasound provides real‑time information about both vein structure and blood flow. It allows assessment of whether blood is flowing in the correct direction, how long reflux persists, and which veins are involved. It also distinguishes between superficial and deep venous disease and identifies anatomical variations that influence treatment planning.
Importantly, duplex ultrasound also confirms that the deep venous system is functioning normally and excludes obstruction or thrombosis. This information is essential for safe treatment and cannot be inferred without imaging.
Do I really need a duplex scan before vein treatment?
Yes. Vein treatment decisions are made at the point of diagnosis, not at the point of treatment. Without duplex ultrasound, it is not possible to confirm the cause of varicose veins, identify which veins are responsible for symptoms, or offer treatments such as sclerotherapy. Treating veins without duplex assessment increases the risk of recurrence, incomplete treatment, and unnecessary intervention.
Consultant‑Led Duplex Assessment at The Vein Clinic Swindon
At The Vein Clinic Swindon, duplex ultrasound is performed and interpreted by a consultant vascular specialist as part of a comprehensive assessment. This ensures accurate diagnosis and appropriate treatment for your thread or varicose veins
Duplex ultrasound is not an optional extra. It is the foundation of safe, effective vein care.
📩 Email Us
☏ Call Us
Return to THE VEIN CLINIC homepage
